Another scan on Monday. As I’m laying in the MRI machine worrying, I’m thinking about how I’m going to stand up from the crinkly paper table and walk out the doors of Mayo Clinic and never come back if Dr. R comes in with bad news again. I am at my wits’ end with cancer. I’ve had more seizures since the last visit. They seem to be happening less and less, but they’re still happening regardless of all the medication I’m on. The seizures scare the shit out of me, and I’m frustrated as hell. My friend with brain cancer passed away recently. We met in 2010 in the radiation waiting room at the University of Iowa Hospitals. He had the same type of tumor on the same side of his head as mine. We had the same doctors. We even had the same scar and goofy haircut on our heads from radiation treatment! Going through brain cancer with Mike was a reminder that I wasn’t alone.
As I get out of the MRI machine, the MRI tech asks me who my oncologist and surgeon is at Mayo Clinic. He shows me his brain cancer scar. We don’t have the same doctors, but he reminds me I’m not alone. I get checked in for the appointment with Dr. R. The nurse calls my name and walks me back to take my vitals. My blood pressure is a little high (duh). Dr. R walks in to the exam room and sits down. He’s got good news. There’s minimal change between my Feb 8th scan and last month’s scan.
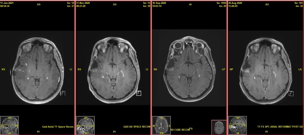
I’m elated, but Dr. R shows me the difference between the August 2020 scan vs. Feb 2021. The tumor appears to be growing, and Dr. R is concerned and thinks we need to start some treatment. Before Monday’s appointment, I sent my case and all my scans to a non-profit organization called Cancer Commons that provides more treatment options based on my individual case. I’ve had a few phone calls with Dr. Deming. All of the physicians who are caring for me are concerned that my tumor is growing again (even before Monday’s scan), and they’ve all suggested I begin some type of treatment as soon as possible.
Regardless of my fear, Dr. R tried to put it all into context for me. He said something along the lines of, “Even though this is really hard for you, and it’s really easy for me to say – you have to understand there is so much hope and so many options for your case, especially when comparing other cases I work with.”
- Surgery and radiation are still options. They are the most effective way to stop brain cancer. At this point, none of the members of my care team think these are the best way to go yet, as these treatments are very aggressive and do not come without cost – especially now that I have gone through them in the past.
- The tumor doesn’t appear to have it’s own blood supply, which means it probably hasn’t grown to Grade 4 (the most aggressive brain cancer).
- It still appears to be slow growing, even though it is a highly aggressive (Grade 3) type of brain cancer.
- There are several clinical trials it appears I am eligible for currently. (including one where they inject the herpes virus into my tumor – seriously. I would totally trade brain cancer for herpes. Sorry Alicia! 😬)
“I agree with my colleagues in Radiology. There is not a dramatic change between today’s scan and the scan from January 11. The overall trend, however, has been one of potential disease progression.”
-Dr. R Clinical Notes (2/8/21)

Dr. R recommends I start taking Temodar, the same chemotherapy I took in 2010 when I was originally diagnosed. He recommends possibly combining it with PARP Inhibitor chemotherapy, immunotherapy, or Optune – what I refer to as the Cancer Fighting Electric Hat. Other options include Avastin, which is an infusion chemotherapy I would take about once a month. I ask Dr. R if I can think about my options for about a month and send him a message with my decision. He also encouraged me to consider some of the clinical trials, and get another opinion from another physican. I have set up an appointment and my next MRI scan with my original neuro oncologist – Dr. H, who transferred to a different hospital. I really liked her and Dr. R agrees it makes sense for me to have her look at my case. Some of the clinical trials I mentioned above are located near her.
For now, no decisions on treatment yet. I’m going to wait at least until I visit with Dr. H in March. Nothing really jumps out at me as the absolute right decision. A part of me thinks I should just start the Temodar, but since it’s one of the easier treatments (comparably speaking) – I wonder if we should save that treatment for a later date if things have really progressed and/or if I’m really in bad shape. Since I’m in relatively good shape, maybe I should consider one of the more aggressive treatments now? It’s such a strange thing to be evaluating quantity vs.quality of life types of decisions when you’re only 37 years old and you still have a mortgage and still play video games.
I’m going to try to keep the hope, and I’m going to try my best to keep thinking about warmer days, campfires, and travel.. 2021 is an exciting year. Eleven years a brain cancer survivor! I know I whine a lot here about how scared I am, but I am sincerely grateful for the past (mostly healthy) eleven years. It’s been ten years since my friends and I went to Mount Everest Base Camp! Alicia and I are celebrating ten years of marriage this year. We are trying to plan our next adventure – hopefully a trip to somewhere with a language we don’t understand, delicious food, and beautiful mountains. And camping season is just around the corner!
Your in my prayers nightly, stay positive and any decisions you make will be the right one for you!
LikeLike
Thankful for positive news. Keeping you two in my thoughts and prayers always. XO
LikeLike
Love you my friend! Keep up the good fight, and come play with us in the mountains! Xo
LikeLike
Justin,
You and Alisha are in our thoughts & prayers! We have quietly supported you guys through this journey. We know Key West doesn’t have mountains or snow, but we do have Manatees, Sharks, Dolphins and Ray’s! If you wander through town you will hear many different languages! Shoot us a text when you need picked up at the airport, we have everything you need!
Papa Lew & Kathy too!
LikeLike
Justin,
You are amazing!! That is the first thing I think about after I have read each if your posts. AMAZING!!
We are praying for these evil cells to be eradicated. God bless you!
LikeLike
You are in our thoughts and prayers.
Jenny & Kim
LikeLike
❤️🙏🏻 ~Peace~
LikeLike
Thinking of both of you. We continue prayers!!!! Dick and Fran
LikeLike
You’ve got this, Justin! I pray for you, and I pray for all the doctors involved to help you keep on fighting! Love you always!
LikeLike
Justin, you are strong and I know you will knock this out of the field. Am praying for both you and Alicia.
LikeLike
I am happy and grateful for your news Justin. You are always in my prayers and I will pray for the right treatment option to become clear for you. Keep living and inspiring! Sending a giant hug and many positive thoughts.
Linda H
LikeLike
Prayers for you both! Our Lord and Savior will see you through the rough and the smooth. He loves you and cares.
Sending my love,
K’Lee
LikeLike
Prayers and lots of hugs!! Positive and happy vibes always coming your way!!
LikeLike
Thinking about you Justin and sending prayers your way. Deb from Seagull
LikeLike